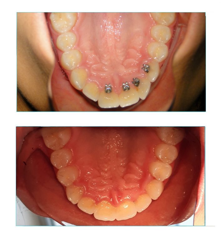
Quando chegou à nós, a correção de mordida profunda com aparelho lingual já havia sido tentada nessa paciente, porém sem sucesso.
Foi diagnosticada com uma mordida profunda. O contato dos dentes inferiores ocasionava a projeção dos dentes frontais superiores.
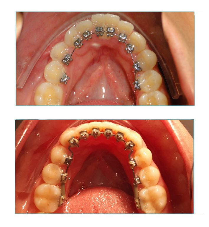
Nesses casos, é impossível empurrar os dentes superiores para trás enquanto a arcada inferior não é corrigida.
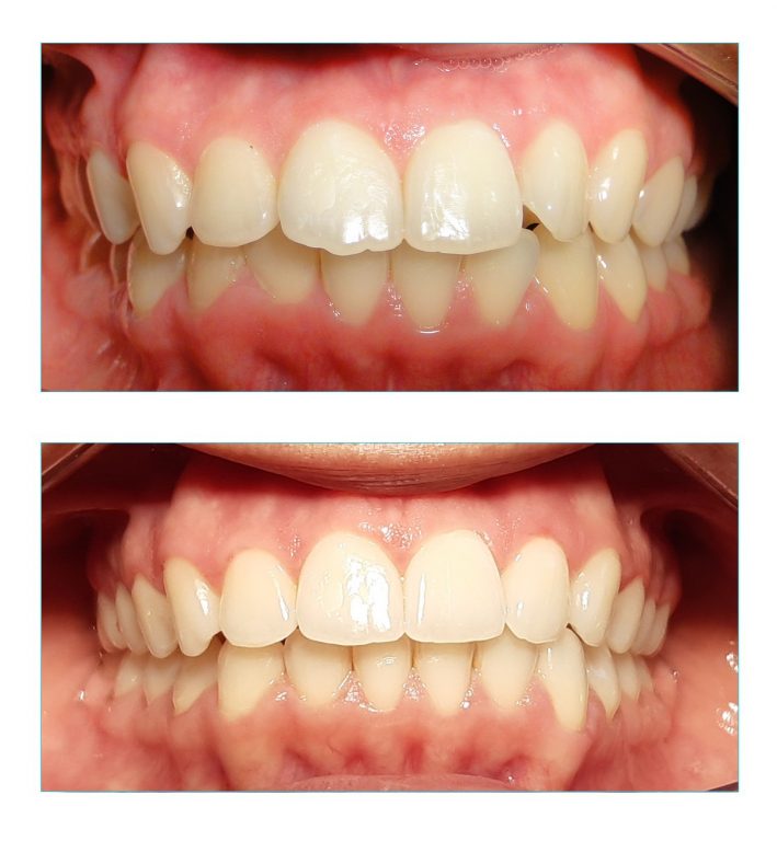
Ao final do tratamento, podemos observar uma redução significativa do degrau entre as duas arcadas.





