Espaços difíceis de fechar podem ocorrer no tratamento ortodôntico com extrações.
A dificuldade que o ortodontista enfrenta ao tentar fechar os espaços criados pelas extrações, pode ocorrer por alguns motivos:
Em primeiro lugar por erro de diagnóstico, que leva à indicação equivocada das extrações.
Ou seja, os dentes são extraídos, mas o caso não precisava de tanto espaço e, por isso, há dificuldade para fechar.
Outro motivo para não conseguir fechar completamente o espaço das extrações é o uso da técnica errada.
Nesses casos, mesmo com a indicação correta, o profissional não tem a experiência para lidar com um caso dessa complexidade e, em determinado ponto, não consegue mais o fechamento.
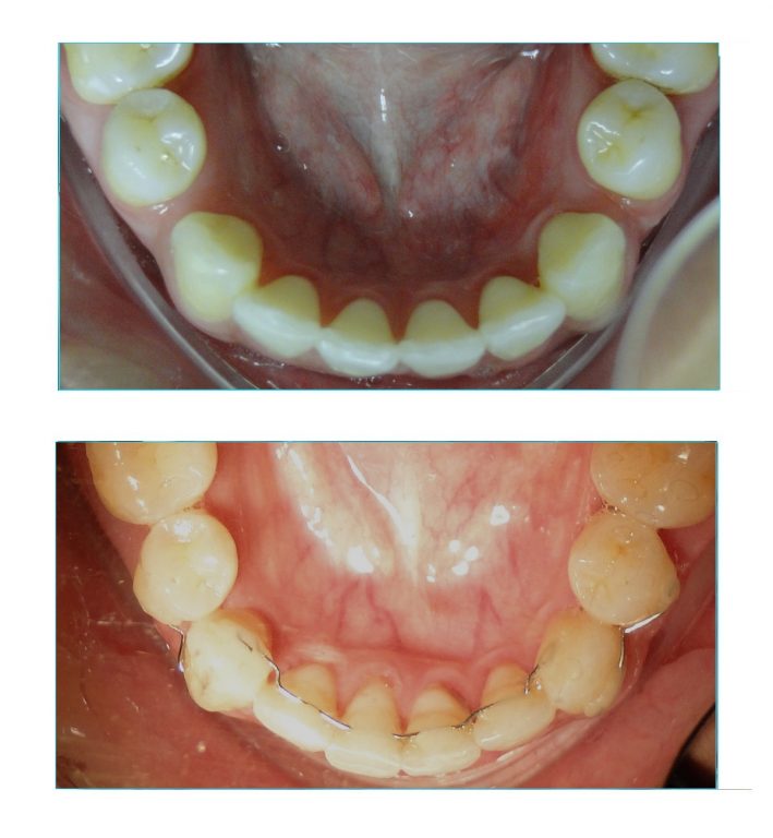
O caso mostrado aqui foi iniciado por outro profissional que indicou as extrações.
Porém, em certo ponto do tratamento, os espaços pararam de fechar. Por mais que se aumentasse a força aplicada, os dentes já não respondiam com movimentação.
Esse efeito é muito comum, principalmente em casos com quatro extrações de pré-molares em que não havia muita falta de espaço nas arcadas.
Ou seja, os tratamentos de biprotursão, são os que apresentam maior risco de fechamento incompleto dos espaços.
A paciente chegou com essas separações e foi muito difícil conseguir o fechar completamente os espaços.







Respostas de 16
você acha q se a pessoa q tem biprotrusão e retirar 4 dentes para puxar para trás mas como resultado a gengiva ficar maior do que já é, compensa? ou só ortognatica para ficar bonito?
Oi Ana!
Depende muito do caso… É necessário avaliar o paciente, pois esse tipo de tratamento com 4 extrações, já é em si um tratamento complexo.
Coloquei aparelho há um ano.
Fiz extração de dente por insistência do profissional e contra a minha vontade.
Acontece que o ortodontista que iniciou meu tratamento simplesmente abandonou o trabalho e foi substituído por uma ortodontista.
Questionada em relação ao tempo de fechamento dos espaços criados com a extração,ela me disse num primeiro momento que os espaços eram grandes e não fechariam.
Indignada eu perguntei:
Como não?
Se no início do tratamento, me fizeram extrair os dentes,dizendo que os espaços se fechariam?
Ela disse que teria que exercer então, uma força maior para que o fechamento ocorresse.
Agora fiquei com uma enorme dúvida.
Os espaços podem se fechar ou não?
Essa resposta não pode ser dada por aqui. Depende do caso e também da capacidade do profissional que vai fazer o tratamento.
É pena que o seu ortodontista inicial tenha abandonado o tratamento.
Talvez seja melhor procurar um ortodontista mais experiente para ter respostas mais objetivas e evitar maiores problemas.
Boa tarde!!Dr. Eu tenho 45 anos e quando eu tinha 22 comecei um tratamento ortodôntico onde foi extraido 02 pré molares superiores(indevidamente) , usei o aparelho ortodôntico + outro no céu da boca por 02 anos e nao resolveu quase nada, os espaços nao fechavam E RESOLVI REMOVER O APARELHO. Quando fiz 39 anos resolvi recomeçar o tratamento, onde estou até hoje (há 06 anos), porém do lado direito fechou agora e do lado esquerdo nao fecha, parou de vez e a dentista diz que por eu ter um rosto ” redondo” e pela idade fica dificil. Aparentemente o meu caso é o numero 01 até o espaço é igual. Já nao sei o que fazer. Tem um tratamento mais alternativo pro meu caso?
Fernando,
Essa situação de não conseguir fechar os espaços completamente pode ocorrer após extrações. Acredito que você precise procurar um ortodontista experiente que tenha comprovadamente tratado casos dessa complexidade, para que ele possa te dizer se é possível esse fechamento completo ou não. Ficar indefinidamente usando aparelho não vai necessariamente resolver o caso.
Ola, meu caso os espaços fechou mas fiquei insatisfeita com o resultado pois os dentes de tras ficou bem menor q os dentes da frente como se tivessem subido pra cima, ainda com os espaços fechado ficou bem visivel q falta dentes no fundo. sem contar o perfil q ficou murcho e a Boca pequena. Meu dentista n me avisou sobre isso :/
Verônica,
Isso pode ocorrer em tratamentos com extrações. Mas não tenho como dizer muito sem avaliar o paciente pessoalmente.
oi, extraí 4 dentes que nem precisava- os pré- molares-, com o uso do aparelho, meu rosto(que tem um perfil racial bi-protuso, está muito murcho, e isso tá acabando comigo, tem como reverter essa situação?
Bia,
Esse efeito pode ocorrer mesmo em tratamentos com extrações. Recomendo que você procure um ortodontista experiente na sua cidade para avaliar o caso e sugerir uma solução.
uma possibilidade é reabrir os espaços e fazer implantes dos dentes extraídos. Mas nem sempre é possível.
Boa tarde
O primeiro caso
O espaço pode voltar a abrir depois da retirada do aparelho?
E quanto tempo foi necessário para fecha-lo?
Josiane,
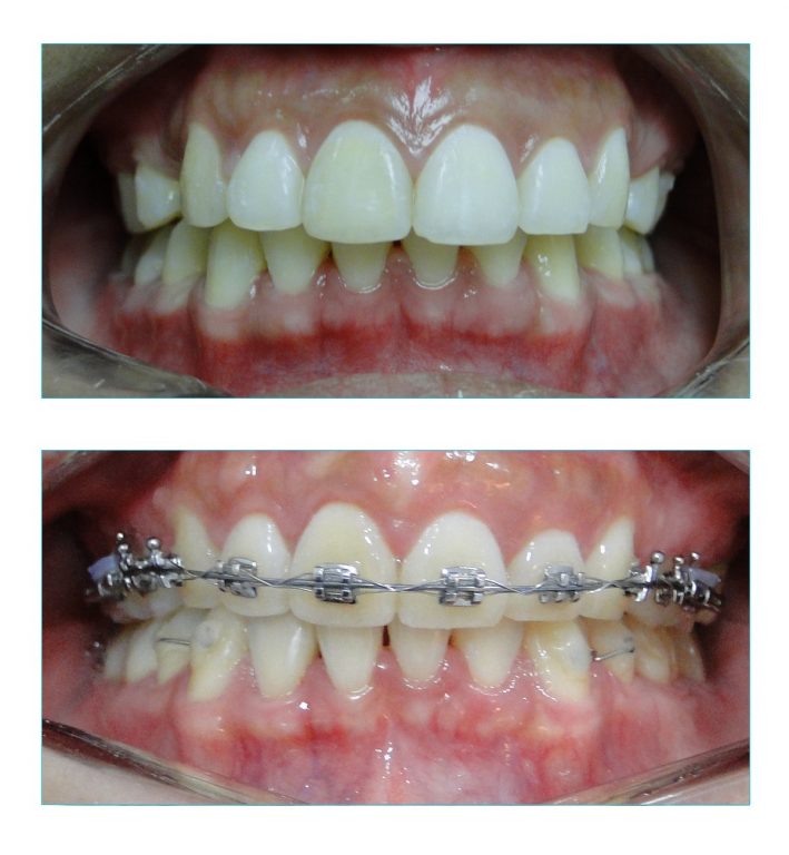
Esse caso foi muito difícil, pois foi iniciado de forma errada por outro profissional, que no meio do tratamento já não conseguia mais fechar o espaço. Tive que desfazer tudo e levei quase dois anos para fechar completamente os espaços.
Ainda assim, mantenho essa paciente (e todos os outros também) monitorando anualmente a estabilidade do caso.
Estou com esse mesmo problema, e me informaram que esse espaço não pode ser fechado, por já ter usado aparelho,mas na segunda vez que extraiu o dente e não conseguiu fechar os espaços. Pode haver outras movimentaçoes . Me informarem que o inviisiline pode resolver o problema. Fiz toda a documentação recente para análise e não sei o que pensar e fazer
Josiane,
Primeiro você precisa procurar um ortodontista experiente na sua cidade. Como esses casos são bem complexos, não vai ser qualquer um que vai resolver.
Isso se aplica também ao invisalign. Quem resolve é o profissional. O aparelho é a ferramenta.
Porque tem aquela borrachinha roxa em cima da banda?
Oi Amanda!
Isso é uma ligadura elástica igual a que usamos para prender o arco no bracket.
Nesse caso ela está sendo usada para fixar o arco à ultima peça do aparelho (o Tubo) e evitar que os espaços das extrações abram de novo.
Nesse caso, a paciente chegou para mim já com os dentes extraídos e o ortodontista dela não conseguia fechar os espaços. Deu um trabalhão, mas consegui.