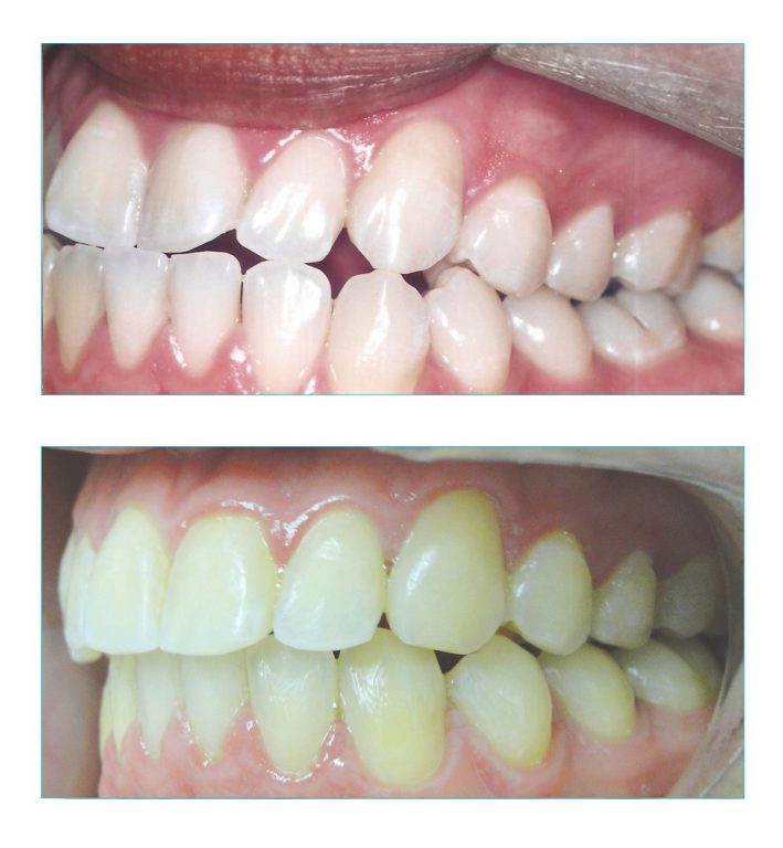
Tratamento compensatório de prognatismo mandibular, ou seja a arcada inferior é maior que a superior, deixando o paciente “queixudo”.
Normalmente esses casos têm indicação de cirurgia ortognática.
Isso ocorre devido à diferença entre o osso da arcada superior e o da inferior, que nesse caso é bem maior.
O paciente não queria fazer cirurgia, por isso foi feito um tratamento compensatório de prognatismo.
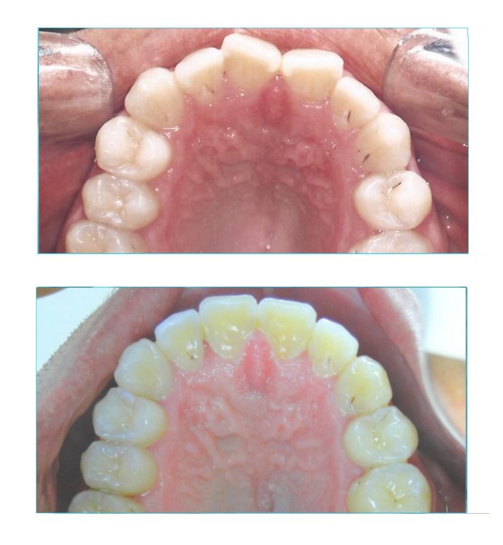
Foi feita a extração de um pré-molar inferior (um pré-molar superior do mesmo lado já havia sido extraído anteriormente).
No tratamento compensatório o ortodontista vai disfarçar o problema esquelético com alterações no posicionamento dos dentes.
É possível observar um parafuso de mini-implante usado para auxiliar na ancoragem no fechamento do espaço da extração.
Nesse caso, o mini-implante funciona como ponto de apoio (ancoragem) para aumentar o controle da movimentação, pois ele não se movimenta como os dentes.
Tratamento realizado com aparelho fixo convencional.






