Correção de mordida aberta com Invisalign
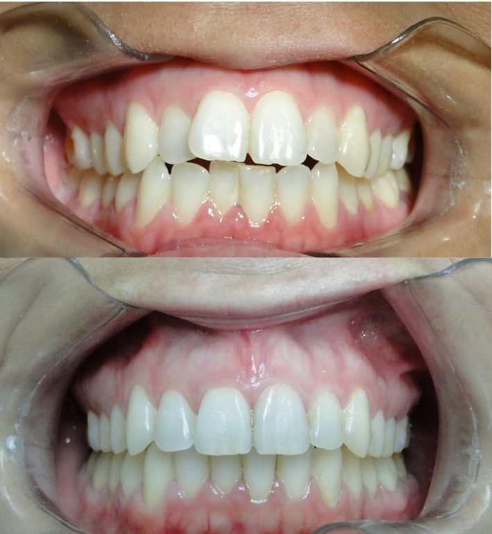
Essa paciente tinha uma queixa em relação à mordida aberta porque dificultava morder alguns alimentos.
O desalinhamento dos dentes também era uma reclamação.
Mas ela não podia usar um aparelho aparente pois sua atividade profissional a impedia.
O diagnóstico desse caso é mordida aberta anterior leve para moderada com apinhamento nas duas arcadas.
A paciente precisava de um tratamento bem discreto, e garantiu que seria cuidadosa para usar um dispositivo removível. Por isso caso foi tratado com alinhadores removíveis transparentes customizados da marca Invisalign.
Foi preciso fazer desgastes interproximais (redução da largura de alguns dentes) porque não havia espaço suficiente para acomodar todos os dentes.
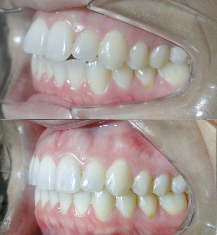
Nas fotografias de antes e depois, podemos observar a descida dos dentes anteriores da arcada superior, fechando a mordida.
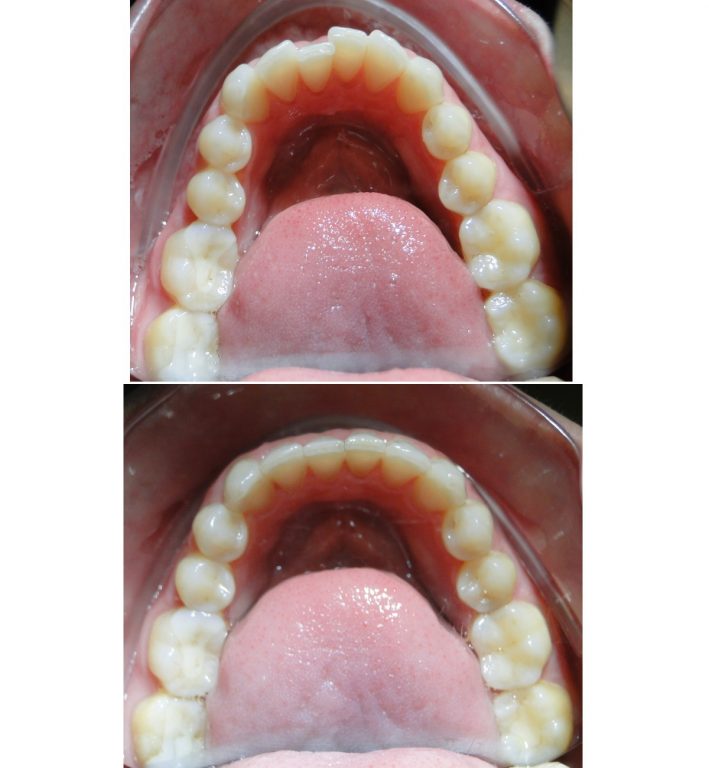
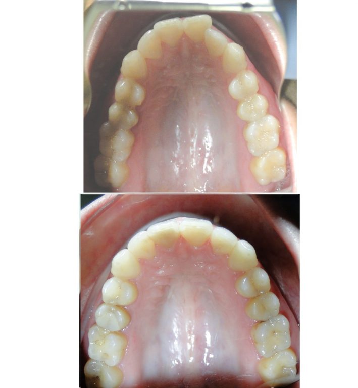
Também observa-se, nas fotografias oclusais a expansão da arcada superior, deixando o sorriso mais largo.
Concluímos que é possível fazer a correção de mordida aberta com invisalign.
Tratamento realizado em 9 meses.







