Expansão das arcadas é uma das alterações mais procuradas pelos pacientes de ortodontia.
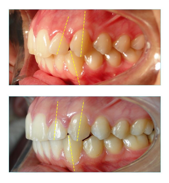
Mais um caso em que o problema não era grave, mas o sorriso estreito incomodava a paciente.
Foi preciso fazer a expansão das arcadas e também o nivelamento e alinhamento dos dentes.
A expansão foi obtida apenas com o uso do aparelho fixo. Não foi usado um disjuntor palatino ou qualquer outro tipo de dispositivo expansor.
Nas fotografias laterais podemos observar o eixo de alguns dentes em tracejado amarelo e o quanto estes foram desinclinados durante o tratamento ortodôntico, que foi feito com aparelho de porcelana.
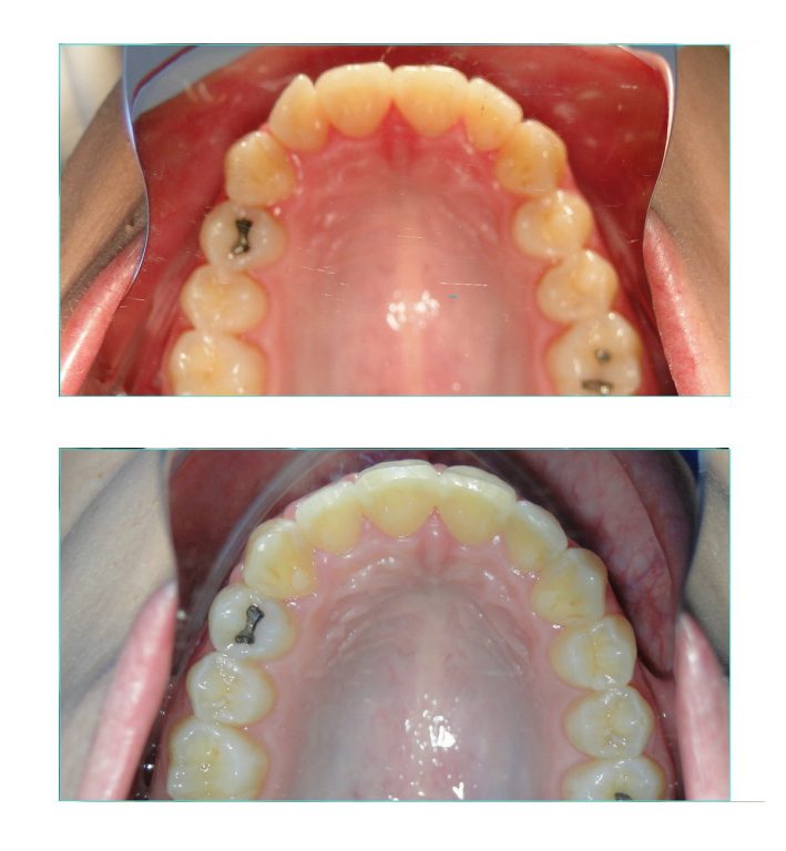
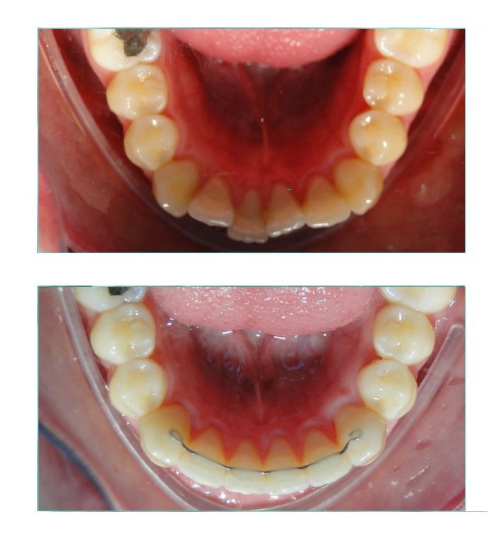
Na arcada inferior vemos uma contenção ortodôntica fixa reta. Na arcada superior foi usada uma contenção removível de acetato associada à uma contenção fixa, que foi instalada posteriormente.
Foi sugerido à paciente fazer a correção da gengiva do incisivo lateral superior do lado esquerdo, mas a paciente preferiu deixar assim mesmo,








Respostas de 6
Coloquei o hyrax tem dois meses, mas agora minha gengiva esta inchada na parte de ancoragem do aparelho está com uma bola e mesmo assim a dentista não quer retirar, fora que ela não quis fazer a limpeza antes, alegando pouco tártaro, não seria perigoso manter o aparelho nessas condições?
Olá Jéssica! Imagino que o problema já esteja resolvido devido à minha demora em responder…
Se ainda houver alguma dúvida, dessa vez estarei a postos para responder em tempo hábil.
OLá, bom dia
Prezado Dr. André Moreira!
Tenho uma pergunta. Eu gostaria de saber, quando há perda de alguns dentes posteriores, precocemente, a arcada diminui com o tempo (devido à perda dentária), e também perda de dimensão vertical e horizontal, se existe algum tratamento para melhorar este quadro?
Rosália,
Para recuperar a perda de dimensão vertical provocada pela perda de dentes posteriores, é preciso reabilitar com implantes na maioria dos casos.
Coloquei o hyrax hoje, tenho 21 anos, e acho q estou arrependida tenho muita dificuldade em engolir os comprimidos e ate a minha saliva, Dr. Tem alguma recomendação?
Ana,
Desculpe a demora… Imagino que você já tenha retirado o Hyrax nesse momento.