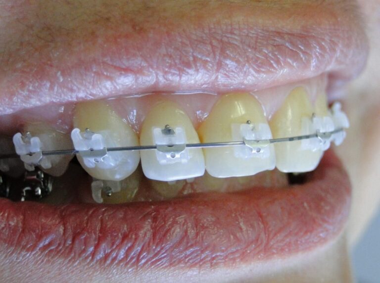
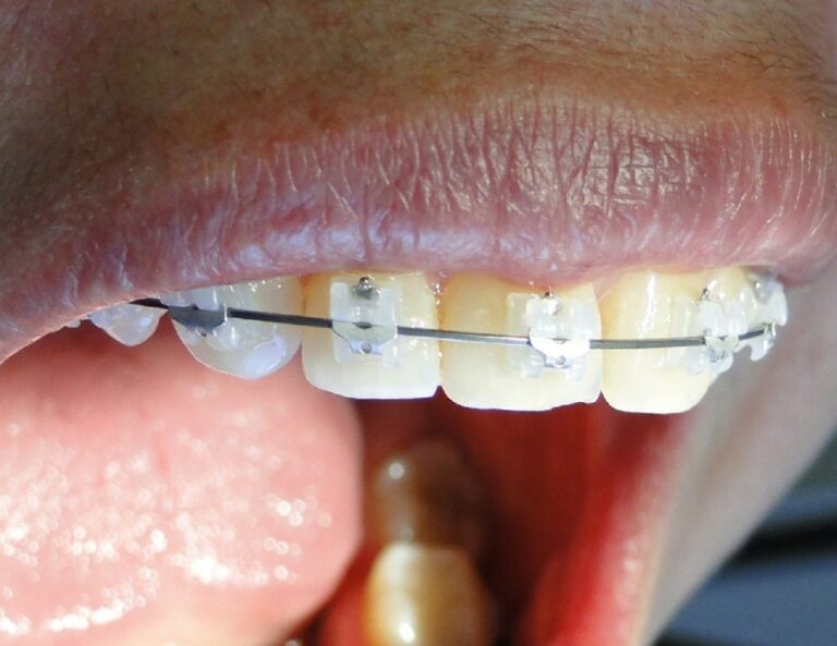
Aparelhos estéticos são aqueles em que os brackets são fabricados de materiais com cor e translucidez semelhantes à dos dentes. Da mesma forma, arcos e ligaduras elásticas também são fabricados com essas características, para que o aparelho ortodôntico fique bem discreto. Os materiais usados na fabricação dos brackets estéticos são o policarbonato, a porcelana e a safira.
Aparelhos ortodônticos estéticos também podem se beneficiar de sistemas auto-ligados, que se caracterizam pela possibilidade do bracket se ligar ao arco ortodôntico sem a necessidade de ligaduras elásticas ou metálicas.
Estes aparelhos normalmente são fabricados de porcelana ou policarbonato e possuem um sistema de fixação do arco que pode ser uma tampa ou pequenas garras, quase sempre metálicas.
O fato dos sistemas de fixação do arco serem metálicos, pode comprometer um pouco a estética desses aparelhos.
Algumas pessoas podem considerar essa característica uma desvantagem estética.
Mas já existem alguns brackets como o Damon Clear, que são auto-ligados e completamente fabricados com materiais estéticos.












