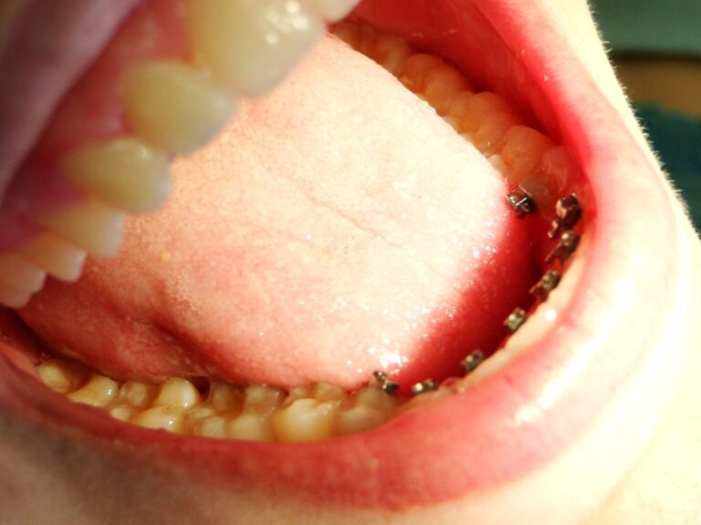
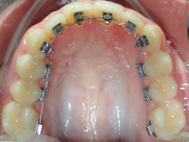
O aparelho ortodôntico lingual convencional é o mais usado no Brasil e se caracteriza pela necessidade de fixação do arco aos brackets através de ligaduras elásticas ou metálicas.
Como sempre, na ortodontia lingual, é necessário um treinamento específico do ortodontista e uma montagem prévia do aparelho nos modelos para a colagem indireta.
Todos os casos que podem ser tratados com ortodontia convencional também podem ser tratados com ortodontia lingual. Tudo depende da habilidade do ortodontista, já que é bem mais difícil trabalhar com essa técnica.














