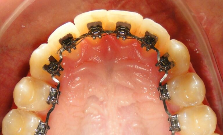
O aparelho lingual auto-ligado funciona de forma similar ao convencional, com a diferença na forma como o arco se prende aos brackets. Como o nome diz, esses brackets são auto-ligados e não necessitam de ligaduras para se fixarem ao arco.
Como em qualquer aparelho auto-ligado, temos vantagens em relação ao atrito no sistema, que reduz as forças necessárias para determinadas movimentações, além de uma maior facilidade na limpeza, já que não existem as ligaduras elásticas que podem reter mais placa bacteriana.
De resto, o aparelho funciona como o lingual convencional.













